Palms Dental Care: Providing Quality Dental Services with a Personal Touch

Palms Dental Care is a dental clinic located in Lake Worth, Florida that offers a wide range of dental services. This clinic is staffed with highly skilled and experienced dentists who are committed to providing quality dental care to their patients. The clinic is open from Monday to Friday, from 8:00 AM to 5:00 PM, and on Saturdays by appointment only.

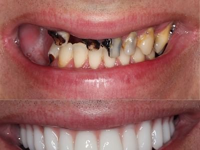
The clinic offers a variety of services, including cosmetic dentistry, dental implants, teeth whitening, emergency dental services, and more. They have a team of specialists who are experts in their respective fields, such as endodontics, periodontics, oral surgery, and dental implants. They use the latest technology and techniques to ensure that their patients receive the best possible care.

One of the things that sets Palms Dental Care apart from other dental clinics is their personalized approach to dental care. They take the time to get to know their patients and understand their unique needs and concerns. They also offer a comfortable and relaxing environment to help their patients feel at ease during their appointments.

Patients of Palms Dental Care have nothing but positive things to say about their experiences. They praise the friendly and professional staff, the modern and clean facilities, and the exceptional care they receive. Patients appreciate the detailed explanations they receive about their dental health and the treatment options available to them.

If you are looking for a dental clinic that offers quality care with a personal touch, Palms Dental Care is the place to go. Their team of skilled and experienced dentists, combined with their personalized approach to dental care, make them a top choice for dental services in Lake Worth, Florida.